bleaching esse zahnarzt

TRAUMHAFT WEISSE ZÄHNE

RUE104 Zahnbleaching: das Gefühl eines wirklich weissen Lächelns!

Strahlend, weiss, attraktiv

Gesunde Zähne und gesundes Zahnfleisch prägen den Ausdruck Ihres Lächelns. Aber auch der Farbton Ihrer Zähne trägt ganz entscheidend dazu bei.

Zahnverfärbungen durch Plaque und Zahnstein entstehen durch Farbstoffe aus Nahrungs- und Genussmitteln, wie Fruchtsäften, Kaffee, Schwarztee, Rotwein und Tabakrauch.

Wir bieten Ihnen als Lösung dieses ästhetischen Problems eine professionelle, kosmetische Behandlung schonender Zahnaufhellung.

lächelnde Frau sitzt auf einen Behandlungsstuhl bei einem Zaharzt
Überzeugend: das RUE104 ZAHNBLEACHING

Überzeugend: das RUE104 ZAHNBLEACHING

Unsere Methode für strahlende Zähne

Professionelle Zahnreinigung

Ein überzeugendes Bleaching sollte nur durchgeführt werden, wenn vorher eine professionelle Zahnreinigung (PZR) stattgefunden hat. Diese PZR ist bei uns der ideale Ausgangspunkt, um schnell und bequem den Unterschied zu entdecken, den ein weisseres Lächeln bietet.

Intensivbehandlung

Das Zahnbleaching „fläsh“ ist unsere PREMIUM-Lösung für strahlend weisse Zähne.

  • Mildes, aber effektives Bleaching-Gel
  • Medizinisches Bleaching für höchste Ansprüche
  • Ideal für Einsteiger & Fortgeschrittene
  • Einsetzbar bei starken Verfärbungen
    Die Behandlung wird mit einem Zahnfleischschutz durchgeführt

Die Behandlung beinhaltet 4-6 Durchgänge und wird mit einem Zahnfleischschutz durchgeführt.

Zahnbleaching by RUE104

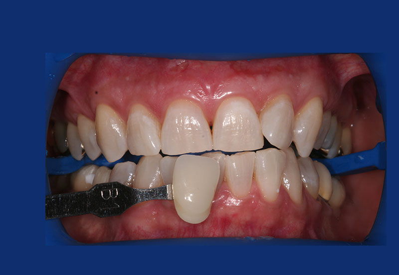
Nahaufnahme von Zähnen vor einem Bleaching mit
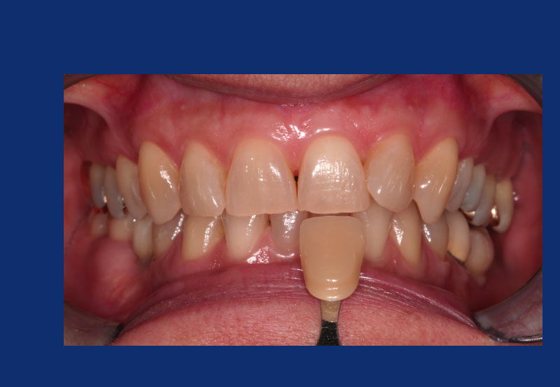
Nahaufnahme von Zähnen nach einem Bleaching

Bei Verfärbungen durch Fluorose oder White Spots setzen wir Bleaching erfolgreich ein. Das ersetzt alternative Methoden, die Ihre Zähne weitaus stärker belasten können.

Gesunde Zähne und gesundes Zahnfleisch prägen den Ausdruck Ihres Lächelns. Aber auch der Farbton Ihrer Zähne trägt ganz entscheidend dazu bei. Zahnverfärbungen durch Plaque und Zahnstein entstehen durch Farbstoffe aus Nahrungs- und Genussmitteln, wie Fruchtsäften, Kaffee, Schwarztee, Rotwein und Tabakrauch.

Wir bieten Ihnen als Lösung dieses Problems eine professionelle, kosmetische Behandlung schonender Zahnaufhellung.

Wir verbürgen uns für diese unbearbeiteten Original-Bilder des am 23. März 2021 bei uns in der Zahnarztpraxis RUE104 durchgeführten Zahnbleachings. Die Patientin hatte vor Jahren eine Krone auf einem Implantat erhalten, die inzwischen eine andere Farbe aufwies, als die restlichen Zähne. So hätte es einen aufwändigen Prozess des Austauschs der Krone bedeutet – ein Zahnbleaching konnte hier überzeugend und einfach helfen.

Dr. Bernd Rohlfing, M.Sc, M.Sc.
Zahnarzt, RUE104 GmbH in Essen-Rüttenscheid